Cấy máy tạo nhịp bó nhánh trái, hồi phục trái tim khỏe mạnh cho bệnh nhân rối loạn nhịp chậm
(Cập nhật: 3/10/2025)
Kỹ thuật tạo nhịp hệ thống dẫn truyền (tạo nhịp bó nhánh trái) là phương pháp hiện đại, được ứng dụng tại nhiều Trung tâm lớn và đã triển khai thường quy tại Bệnh viện Đa khoa tỉnh Quảng Ninh. Mới đây, các bác sĩ Đơn vị Rối loạn nhịp đã thực hiện thành công 2 ca cấy máy tạo nhịp hệ thống dẫn truyền cho bệnh nhân cao tuổi, giúp phòng ngừa tái phát các cơn ngất nguy hiểm và cải thiện chất lượng cuộc sống.
Hai trường hợp bị rối loạn nhịp chậm được can thiệp là bệnh nhân Lý Thị L. (82 tuổi) ở xã Quảng La, tỉnh Quảng Ninh, có tiền sử tăng huyết áp, từng tai biến mạch não cũ nhưng không để lại di chứng. Bà L. ở nhà bị ngất mất ý thức, co giật, được gia đình đưa vào Bệnh viện Đa khoa tỉnh cấp cứu. Holter điện tâm đồ ghi nhận có nhiều cơn block nhĩ thất kịch phát với rất nhiều hoạt động khử cực tâm nhĩ nhưng không dẫn truyền được xuống tâm thất, biểu hiện lâm sàng là những cơn ngất của người bệnh. Đây là tình trạng rối loạn nhịp chậm rất nguy hiểm, nguy cơ cao đe dọa tính mạng người bệnh.
Bệnh nhân thứ 2 là Trần Thị L. (57 tuổi) ở phường Móng Cái 2, tỉnh Quảng Ninh, có tiền sử rối loạn nhịp chậm phát hiện cách đây 3 năm. Gần đây, bệnh nhân thường xuyên xuất hiện cơn choáng ngất, bất tỉnh. Cấp cứu tại Trung tâm y tế Móng Cái với chẩn đoán hội chứng nút xoang bệnh lý có ngất và được xử trí ban đầu, sau đó người bệnh được chuyển Trung tâm tim mạch - Bệnh viện Đa khoa tỉnh.

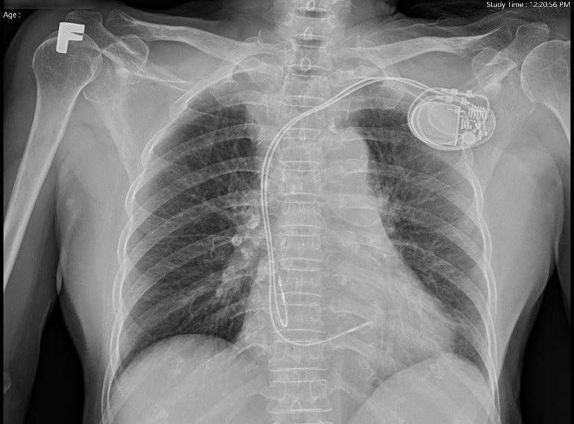
Hình ảnh X-quang ngực sau cấy máy tạo nhịp bó nhánh trái.
Hai bệnh nhân được cấp cứu đặt máy tạo nhịp tạm thời. Sau khi thăm khám kỹ lưỡng, các bác sĩ Đơn vị Rối loạn nhịp chỉ định cấy máy tạo vĩnh viễn bằng phương pháp tạo nhịp tâm thất tại vùng bó nhánh trái nhằm duy trì nhịp tim ổn định, tránh biến chứng nguy hiểm cho người bệnh. Đây là một phương pháp tạo nhịp mới trong điều trị các rối loạn nhịp chậm mang lại nhiều lợi ích cho người bệnh so với tạo nhịp truyền thống.
Bệnh nhân suy nút xoang được thăm khám lại sau can thiệp đặt máy tạo nhịp bó nhánh trái.
Kíp can thiệp do Ths.Bs Phan Thanh Nghĩa, Trưởng Đơn vị Rối loạn nhịp tim phụ trách cùng các cộng sự thực hiện. Bác sĩ tiến hành gây tê, thiết lập đường vào từ tĩnh mạch nách bên trái, luồn và cố định điện cực vào vách liên thất và tiếp cận vào vùng bó nhánh trái thuộc hệ thống dẫn truyền trong tâm thất của bệnh nhân nhờ những dụng cụ chuyên biệt, sau đó kết nối với thân máy tạo nhịp được vùi dưới da. Sau khoảng 1 tiếng can thiệp, máy tạo nhịp vĩnh viễn được cấy thành công, kiểm tra thấy máy hoạt động tốt, không chảy máu, đảm bảo an toàn.
Sau can thiệp, nhịp tim của bệnh nhân được khôi phục ổn định, tình trạng lâm sàng cải thiện rõ rệt. Theo dõi bệnh nhân tỉnh táo, hết choáng ngất, chỉ số tim mạch ổn định, vận động nhẹ nhàng.
Người nhà bệnh nhân Lý Thị L. chia sẻ: “Mẹ tôi bị ngất đột ngột bất cứ đâu khiến gia đình luôn trong tâm trạng lo lắng vì rất nguy hiểm. May mắn được các bác sĩ phát hiện và điều trị kịp thời, giờ tôi không còn cơn choáng, đau ngực, sức khỏe ổn định hơn nhiều. Tôi thật sự biết ơn các bác sĩ Bệnh viện Đa khoa tỉnh Quảng Ninh đã tận tình cứu chữa bằng kỹ thuật hiện đại”.
Ths.Bs Phan Thanh Nghĩa, Trưởng Đơn vị Rối loạn nhịp thăm khám lại cho cụ bà 82 bị block nhĩ thất kịch phát.

Hình ảnh điện tim sau cấy máy của cụ bà 82 tuổi.
Rối loạn nhịp tim, trong đó có rối loạn nhịp chậm như block nhĩ thất hay hội chứng suy nút xoang là bệnh lý thường gặp nguy hiểm, có thể đe dọa tính mạng nếu không được chẩn đoán và can thiệp kịp thời. Cấy máy tạo nhịp tim vĩnh viễn là phương pháp điều trị hiệu quả, song kỹ thuật tạo nhịp buồng thất truyền thống có nhiều hạn chế như làm mất đồng bộ co bóp 2 tâm thất lâu dài, tăng nguy cơ suy tim do tạo nhịp về lâu dài. Đặc biệt đối với những bệnh nhân block nhĩ thất với tỷ lệ tạo nhịp tâm thất gần như phụ thuộc vào máy.
Trong khi đó, kỹ thuật tạo nhịp hệ thống dẫn truyền (tạo nhịp bó nhánh trái) là phương pháp hiện đại, được các Trung tâm tim mạch lớn ở Việt Nam cũng như trên thế giới lựa chọn áp dụng trong vài năm trở lại đây. Điện cực của máy được cấy trực tiếp tại hệ thống dẫn truyền sinh lý của tim, giúp duy trì hoạt động cơ tim đồng bộ, cải thiện hiệu quả co bóp và giảm nguy cơ biến chứng. Kỹ thuật này đã dần thay thế phương pháp tạo nhịp truyền thống tại nhiều bệnh viện và mang lại kết quả vượt trội cho người bệnh.
Ths.Bs Phan Thanh Nghĩa, Trưởng Đơn vị Rối loạn nhịp, Trung tâm Tim mạch, Bệnh viện Đa khoa tỉnh Quảng Ninh cho biết: “Cấy máy tạo nhịp bó nhánh trái là phương pháp tạo nhịp mới trong điều trị các rối loạn nhịp chậm. Ưu điểm nổi bật của kỹ thuật này là khôi phục dẫn truyền điện sinh lý gần như tự nhiên, giúp tim đập đồng bộ và hạn chế biến chứng về lâu dài của tạo nhịp truyền thống. Với định hướng phát triển những kỹ thuật mới tiên tiến trong lĩnh vực tim mạch hiện đại, Bệnh viện Đa khoa tỉnh Quảng Ninh đã làm chủ và triển khai thường quy kỹ thuật tạo nhịp hệ thống dẫn truyền với hàng trăm ca được thực hiện mỗi năm, đem lại kết quả điều trị tối ưu cho người bệnh, mở ra thêm cơ hội sống khỏe cho bệnh nhân rối loạn nhịp tim trong tỉnh và khu vực”.
Người bệnh thực hiện kiểm tra máy tạo nhịp định kỳ để đảm bảo hoạt động ổn định.
Bác sĩ Nghĩa khuyến cáo, sau khi cấy máy tạo nhịp, người bệnh cần tuân thủ lịch tái khám định kỳ để được kiểm tra hoạt động của máy, điều chỉnh thông số phù hợp và theo dõi biến chứng nếu có. Người bệnh nên tránh tiếp xúc gần với các thiết bị phát sóng điện từ mạnh, không để điện thoại áp sát vùng ngực đặt máy, đồng thời duy trì chế độ sinh hoạt điều độ, dùng thuốc theo chỉ định và theo dõi sức khỏe thường xuyên.
Đơn vị Rối loạn nhịp tim được thành lập đã tạo bước tiến quan trọng, là nền tảng phát triển chuyên sâu toàn diện cho lĩnh vực rối loạn nhịp tim của Trung tâm Tim mạch Bệnh viện. Đơn vị đã làm chủ nhiều kỹ thuật hiện đại, trong đó có kỹ thuật tạo nhịp bó nhánh trái, qua đó giúp nhiều bệnh nhân rối loạn nhịp được can thiệp kịp thời bằng các kỹ thuật tiên tiến, tránh nguy cơ biến cố đe dọa tính mạng, không phải chuyển tuyến trên, góp phần giảm tỷ lệ tử vong, cải thiện triệu chứng và nâng cao chất lượng cuộc sống cho người bệnh. Đây cũng khẳng định vai trò, vị thế của một Trung tâm Tim mạch uy tín tại Quảng Ninh, từng bước tiệm cận chuẩn mực của các bệnh viện tuyến trung ương, nâng cao chất lượng chăm sóc sức khỏe tim mạch tại địa phương./.
Hà Trang, phòng TT&HCQT
(Lượt đọc: 690)
Tin tức liên quan
- Lan tỏa yêu thương, mang Tết Trung thu ấm áp đến với bệnh nhi
- Bệnh viện Đa khoa tỉnh Quảng Ninh tổ chức hội thi Điều dưỡng, Hộ sinh, Kỹ thuật viên giỏi năm 2025
- Hỗ trợ y tế cơ sở phẫu thuật kết hợp xương ít xâm lấn cho bệnh nhân gãy liên mấu chuyển xương đùi
- TỔNG KẾT CÔNG TÁC PHỐI HỢP ĐÀO TẠO GIỮA BỆNH VIỆN ĐA KHOA TỈNH QUẢNG NINH VÀ TRƯỜNG CAO ĐẲNG Y TẾ QUẢNG NINH
- Khảo sát thực tế đề tài tham dự Hội thi Sáng tạo kỹ thuật tỉnh lần thứ X tại Bệnh viện Đa khoa tỉnh Quảng Ninh
- Thêm 05 Đảng viên mới tại Đảng bộ bệnh viện Đa khoa tỉnh Quảng Ninh sau thành công Đại hội Đảng bộ tỉnh Quảng Ninh lần thứ XVI
- Bệnh viện đa khoa tỉnh Quảng Ninh phối hợp với TTYT Quảng Yên tổ chức thăm khám, sàng lọc các bệnh lý tim mạch
- Bệnh viện Đa khoa tỉnh Quảng Ninh hướng về Đại hội Đại biểu Đảng bộ tỉnh Quảng Ninh lần thứ XVI, nhiệm kỳ 2025-2030
- Phẫu thuật nội soi cắt u tuyến thượng thận cho nữ bệnh nhân hạ kali máu và tăng huyết áp kéo dài
- Bệnh viện Đa khoa tỉnh Quảng Ninh kích hoạt quy trình cấp cứu người bệnh đột quỵ não nội viện hiệu quả
- Tiêu điểm
- Tin đọc nhiều

















202521016343.jpg)








