Chủ quan với khối thoát vị bẹn, nam bệnh nhân phải mổ cấp cứu vì biến chứng thoát vị nghẹt hoại tử đại tràng
(Cập nhật: 20/10/2025)
Thoát vị bẹn nghẹt là biến chứng rất nguy hiểm của bệnh lý thoát vị bẹn, có thể gây hoại tử ruột, hoại tử tinh hoàn, gây tắc ruột, đau dữ dội và có nguy cơ đe dọa tính mạng người bệnh nếu không được xử trí kịp thời. Vừa qua ngày 15/10/2025, các bác sĩ khoa Ngoại, Bệnh viện Đa khoa tỉnh Quảng Ninh phẫu thuật cấp cứu thành công cho một trường hợp nam bệnh nhân bị thoát vị bẹn trái nghẹt đại tràng sigma gây hoại tử, viêm phúc mạc.
Trường hợp vừa được mổ cấp cứu là ông B.C.C (63 tuổi) trú tại phường Cẩm Phả, tỉnh Quảng Ninh. Bệnh nhân nhập viện trong tình trạng khối phồng vùng bẹn trái đau tức, không thể đẩy lên được kèm theo đau bụng và chướng hơi. Qua thăm khám và chụp cắt lớp vi tính, các bác sĩ chẩn đoán bệnh nhân bị thoát vị bẹn trái nghẹt. Hội chẩn đánh giá đây là biến chứng phức tạp và nguy hiểm của thoát vị bẹn do ruột bị chui xuống lỗ thoát vị và kẹt lại gây tắc nghẽn, thiếu máu nuôi. Bệnh nhân được chỉ định mổ cấp cứu bằng phương pháp nội soi, nhằm giải phóng khối thoát vị và xử trí tổn thương.
.png)
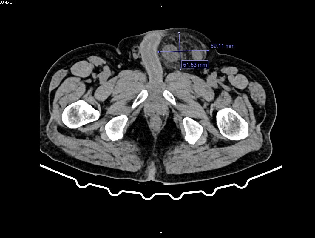
Hình ảnh khối thoát vị bẹn trái nghẹt qua phim chụp cắt lớp vi tính.
Kíp mổ khoa Ngoại do bác sĩ Nguyễn Đình Quế phụ trách phối hợp với các cộng sự thực hiện. Qua đường rạch nhỏ 1cm ở thành bụng, phẫu thuật viên đưa camera vào kiểm tra phát hiện trong ổ bụng có nhiều dịch tiêu hóa lẫn nhiều giả mạc, biểu hiện tình trạng viêm nhiễm nặng, lỗ bẹn phải bình thường, lỗ bẹn trái có đại tràng chui vào gây nghẹt. Giải phóng khối thoát vị, các bác sĩ nhận thấy đoạn đại tràng sigma đã bị hoại tử đen.
Trước biến chứng phức tạp, kíp mổ nhanh chóng rửa sạch ổ bụng, xử lý bao thoát vị, khâu phục hồi thành bụng và đưa đoạn đại tràng hoại tử ra ngoài làm hậu môn nhân tạo tạm thời, giúp đảm bảo lưu thông tiêu hóa, cứu sống người bệnh.
Hiện tại, người bệnh đã thoát khỏi nguy kịch, mạch, huyết áp ổn định, đau nhẹ vết mổ, hậu môn nhân tạo hoạt động tốt, được tiếp tục theo dõi sát, điều trị kháng sinh toàn thân, chống viêm, giảm đau, dinh dưỡng.

Kíp mổ cấp cứu khoa Ngoại xử trí khối thoát vị bẹn trái bị nghẹt cho bệnh nhân

Hình ảnh đại tràng bị hoại tử và lỗ thoát vị qua nội soi
Thoát khỏi cơn đau, ông C. chia sẻ: “Tôi phát hiện vùng bẹn có khối phồng từ lâu, khối to lên khi gắng sức, lúc nằm nghỉ ấn thì xẹp, nghĩ không sao nên chủ quan không đi khám. Đợt này tự nhiên đau nhiều, ấn cứng không xẹp, bụng chướng và đau nhiều, không chịu nổi nên vào viện thì được các bác sĩ thăm khám, chụp cắt lớp vi tính, xét nghiệm, giải thích mổ cấp cứu ngay. Bác sĩ bảo ruột đã bị hoại tử tôi vô cùng lo lắng. May mà các y, bác sĩ cứu chữa kịp thời, giúp tôi thoát khỏi nguy kịch”.
Thoát vị bẹn là bệnh lý phổ biến, chủ yếu gặp ở nam giới mọi lứa tuổi, đa số người mắc có tâm lý chủ quan, không điều trị sớm. Thông thường, bệnh chỉ gây cảm giác tức nhẹ, xuất hiện khối phồng vùng bẹn khi ho hoặc vận động mạnh và có thể tự biến mất hoặc ấn lên được khi nằm nghỉ. Tuy nhiên, khi khối thoát vị bị nghẹt, bệnh nhân sẽ thấy đau, nôn, bí trung đại tiện, khối phồng không thể đẩy lên được. Đây là dấu hiệu cảnh báo tình trạng cấp cứu ngoại khoa.

Bác sĩ chuyên khoa I Nguyễn Đình Quế thăm khám lại cho bệnh nhân sau mổ
Chia sẻ về ca bệnh, Bs.CKI Nguyễn Đình Quế, khoa Ngoại, Bệnh viện Đa khoa tỉnh Quảng Ninh cho biết: “Thoát vị bẹn nghẹt là biến chứng rất nguy hiểm của bệnh thoát vị bẹn, xảy ra khi một phần tạng trong ổ bụng lọt vào lỗ thoát vị và bị kẹt lại, gây tắc nghẽn, thiếu máu nuôi, dẫn tới hoại tử, thủng, dịch phân thoát ra ngoài ổ bụng gây viêm phúc mạc, nhiễm trùng nhiễm độc, nếu không được xử trí kịp thời sẽ gây hậu quả nặng nề đe dọa tính mạng người bệnh.
Như bệnh nhân C. là một điển hình của biến chứng nặng do đến viện muộn. Dù phát hiện thoát vị bẹn từ lâu nhưng bệnh nhân chủ quan không điều trị, chỉ đến khi xuất hiện đau tức, chướng bụng mới nhập viện thì đại tràng sigma đã bị hoại tử, thủng, dịch phân chảy ra ổ bụng gây viêm phúc mạc nặng. Rất may, ca mổ được thực hiện kịp thời nên đã cứu được tính mạng người bệnh. Hiện bệnh nhân đang được theo dõi hậu phẫu, sức khỏe ổn định dự kiến ra viện vài ngày và sẽ được hẹn tái khám lên kế hoạch đóng lại hậu môn nhân tạo sau khoảng 3 tháng”.
Trường hợp của bệnh nhân C. là lời cảnh báo về mức độ nguy hiểm của thoát vị bẹn khi không được phát hiện và điều trị sớm. Nhờ sự phối hợp nhịp nhàng giữa các bác sĩ ngoại khoa và gây mê hồi sức, cùng năng lực phẫu thuật thuần thục và trang thiết bị hiện đại, Bệnh viện Đa khoa tỉnh Quảng Ninh đã xử trí thành công ca bệnh nguy kịch, giúp người bệnh qua cơn nguy hiểm và hồi phục tốt sau mổ.
Bác sĩ Quế khuyến cáo: Những người có khối phồng vùng bẹn nên đi khám sớm để được chẩn đoán xác định, tư vấn từ bác sĩ chuyên khoa và phẫu thuật sớm khi cần thiết. Bệnh thoát vị bẹn nếu chần chừ, trì hoãn gây khó chịu trong sinh hoạt hàng ngày, tự ti trong giao tiếp đặc biệt có thể có biến chứng nghẹt và dẫn đến những hậu quả nặng nề, nghiêm trọng, thậm chí đe dọa tới tính mạng.
Hà Trang, phòng TT&HCQT
(Lượt đọc: 371)
Tin tức liên quan
- BỆNH VIỆN ĐA KHOA TỈNH QUẢNG NINH THAM DỰ HỘI NGHỊ KHOA HỌC KỸ THUẬT CÁC BỆNH VIỆN KHU VỰC DUYÊN HẢI BẮC BỘ MỞ RỘNG NĂM 2025
- Hội nghị Nội tiết – Đái tháo đường và hội chứng chuyển hóa Hà Nội mở rộng lần thứ XI, năm 2025
- Phẫu thuật cứu bé 3 tuổi bị tụ máu não sau ngã: Cảnh báo tai nạn sinh hoạt ở trẻ nhỏ!
- Đại hội Đại biểu Đoàn TNCS Hồ Chí Minh Bệnh viện Đa khoa tỉnh Quảng Ninh lần thứ VII, nhiệm kỳ 2025-2030
- Bệnh viện Đa khoa tỉnh Quảng Ninh trao quà động viên nữ đoàn viên công đoàn khó khăn, mắc bệnh hiểm nghèo nhân ngày 20/10
- Phối hợp liên chuyên khoa tán sỏi đường mật qua da cho người bệnh nhiễm trùng đường mật do sỏi tái phát sau 2 lần mổ mở
- Bệnh viện Đa khoa tỉnh Quảng Ninh điều trị đồng thời 2 ung thư đường tiêu hóa bằng kỹ thuật nội soi ít xâm lấn
- BỆNH VIỆN ĐA KHOA TỈNH QUẢNG NINH TỔ CHỨC THÀNH CÔNG HỘI THẢO KHOA HỌC “TỐI ƯU HÓA ĐIỀU TRỊ CHÓNG MẶT TỪ LÝ THUYẾT ĐẾN THỰC HÀNH; TIẾP CẬN VÀ XỬ TRÍ TRẠNG THÁI ĐỘNG KINH”
- Tăng cường hợp tác đào tạo quốc tế, nâng cao năng lực chuyên môn trong lĩnh vực hiến ghép tạng
- Đào tạo kỹ năng sơ cấp cứu và xử trí ban đầu cho Trung tâm y tế huyện Bình Liêu
- Tiêu điểm
- Tin đọc nhiều
















202521016343.jpg)








