SỰ KẾT HỢP NHỊP NHÀNG GIỮA 2 CƠ SỞ BỆNH VIỆN ĐA KHOA TỈNH QUẢNG NINH TRONG CẤP CỨU THÀNH CÔNG CỨU SỐNG BỆNH NHÂN 15 TUỔI VỠ GAN ĐỘ IV NGUY HIỂM
(Cập nhật: 20/11/2025)
Tuần qua, bệnh viện đa khoa tỉnh Quảng Ninh cơ sở 2 đã xử trí cấp cứu thành công ca vỡ tạng đặc kèm đa chấn thương do tai nạn giao thông cho nam bệnh nhân L.D.N 15 tuổi thường trú tại xã Quảng La, tỉnh Quảng La nhập viện cơ sở 2 trong tình trạng đau nhiều vụng hạ sườn phải, bụng sưng đau kèm nhiều các vết bầm tím ở vùng bụng.
Ngay lập tức các bác sĩ thuộc ekip trực tại cơ sở 2 bệnh viện Đa khoa tỉnh Quảng Ninh( Khu Trới 2- phường Hoành Bồ) đã khẩn trương làm các xét nghiệm và tiến hành chụp CT Scanner ổ bụng ngay lập tức và kết luận: Vỡ gan độ IV, đa chấn thương. Nghiêm trọng hơn, phát hiện hình ảnh "ổ thoát thuốc" – dấu hiệu "báo động" của việc chảy máu hoạt động trong nhu mô gan. Trước tổn thương phức tạp, ekip cấp cứu cơ sở 2 đã kích hoạt hội chẩn trực tuyến với chuyên gia tại cơ sở chính nhằm có phương án tối ưu cho người bệnh là chuyển tuyến khẩn cấp về cơ sở chính để can thiệp nút mạch cầm máu trên máy DSA. Đây là giải pháp vàng giúp cầm máu nhanh mà không cần phẫu thuật mở.

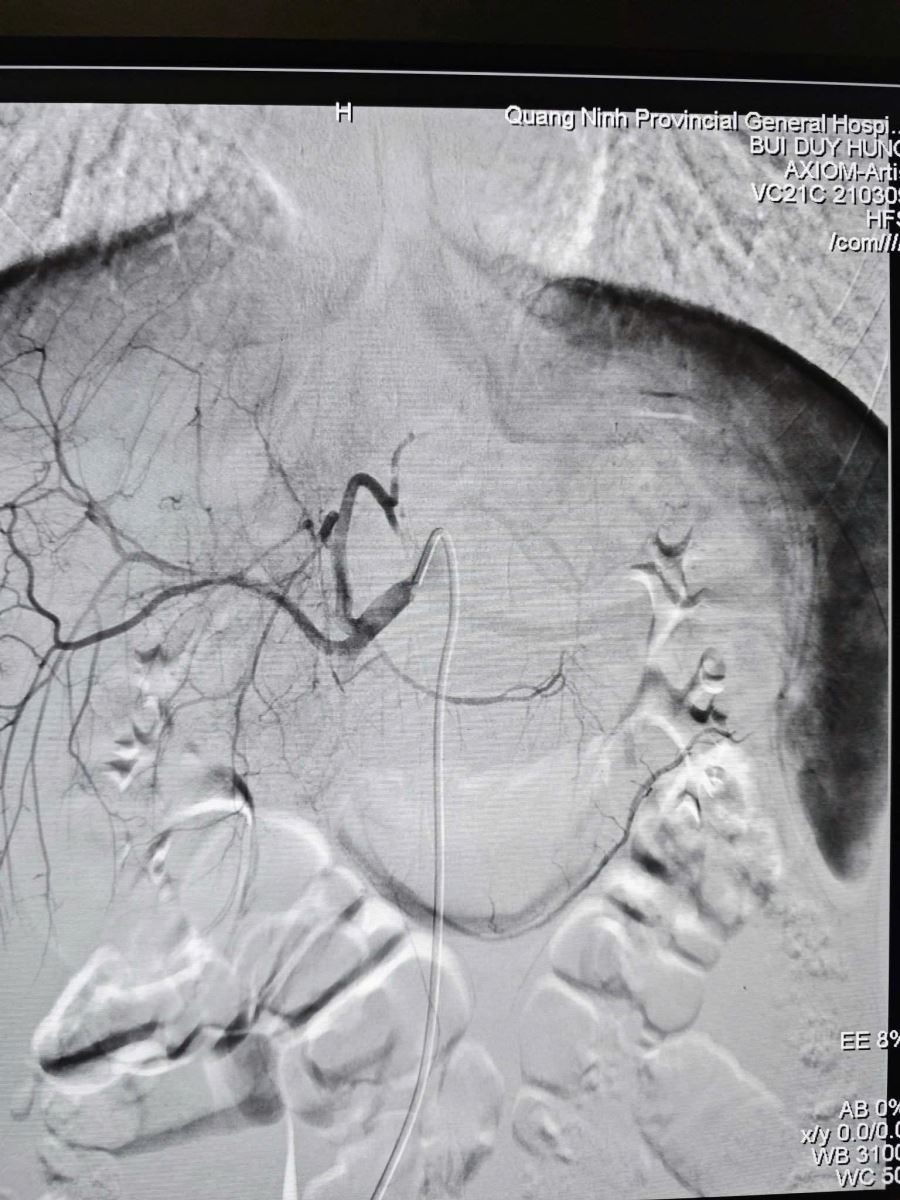
Hình tổn thương trên phim chụp DSA
Khi vận chuyển người bệnh về tại cơ sở chính, Ekip Can thiệp mạch đã sẵn sàng mọi nguồn lực. Ngay khi tiếp nhận, nhận thấy bệnh nhân có dấu hiệu thiếu máu, các bác sĩ đã chỉ định truyền máu kịp thời để bồi phụ tuần hoàn trước khi can thiệp. Dưới sự hỗ trợ của hệ thống DSA hiện đại, ekip bác sĩ đã luồn ống thông (Microcatheter) siêu nhỏ 1.9F tiếp cận siêu chọn lọc vị trí nhánh động mạch gan đang chảy máu và nút tắc bằng vật liệu chuyên dụng Spongel.

Ekíp can thiệp mạch do BSCKII Bùi Duy Hưng- Phó khoa Chẩn đoán hình ảnh – Điện quang can thiệp trực tiếp thực hiện

Hình ảnh sau nút mạch điều trị chấn thương gan, ổ chảy máu đã được nút tắc.
Sau 60 phút, ca can thiệp thành công tốt đẹp, hình ảnh chụp kiểm tra cho thấy điểm chảy máu đã được cầm hoàn toàn. Huyết động bệnh nhân ổn định và được chuyển hậu phẫu theo dõi với tiên lượng phục hồi. Thành công của ca bệnh khẳng định hiệu quả của mô hình hoạt động đồng bộ, năng lực chẩn đoán tại chỗ nhanh, chính xác ngay từ đầu nhờ CT Scanner và nhân lực chất lượng làm chủ kỹ thuật nút mạch giúp xử trí chấn thương nhẹ nhàng, hiệu quả cao. Sự đồng bộ và hiệp đồng tác chiến giữa hai cơ sở đang ngày càng khẳng định Bệnh viện Đa khoa tỉnh Quảng Ninh là địa chỉ tin cậy, mang lại cơ hội sống cao nhất cho người bệnh trong các tình huống cấp cứu tối khẩn./.
Hình ảnh người bệnh sau 3 ngày điều trị tại bệnh viện
Phòng TT&HCQT
(Lượt đọc: 351)
Tin tức liên quan
- Bệnh viện đa khoa tỉnh Quảng Ninh phát triển kỹ thuật cao, chuyên sâu tại cơ sở 2 sau sáp nhập
- Thông báo danh sách nguồn nhân lực chất lượng cao tăng cường cơ sở 2 bệnh viện đa khoa tỉnh Quảng Ninh
- GHI DẤU CÔNG TÁC ĐIỀU DƯỠNG CỦA BỆNH VIỆN ĐA KHOA TỈNH QUẢNG NINH TRÊN BẢN ĐỒ Y TẾ KHU VỰC
- BỆNH VIỆN ĐA KHOA TỈNH QUẢNG NINH PHẪU THUẬT CẤP CỨU THÀNH CÔNG CA XUẤT HUYẾT Ổ LOÉT DẠ DÀY Ở BỆNH NHÂN CAO TUỔI
- BỆNH VIỆN ĐA KHOA TỈNH QUẢNG NINH TĂNG CƯỜNG CHUYỂN GIAO KỸ THUẬT CAO, HỖ TRỢ CHUYÊN MÔN TOÀN DIỆN CHO CƠ SỞ 2
- Phẫu thuật thay khối phình động mạch chủ bụng kèm lấy sỏi cho bệnh nhân tiền sử ung thư dạ dày
- Đại hội Đại biểu Công đoàn Bệnh viện Đa khoa tỉnh Quảng Ninh lần thứ XIX, nhiệm kỳ 2025 - 2030
- Nghiệm thu nhiệm vụ KH&CN cấp tỉnh: “Ứng dụng kỹ thuật xâm nhập tối thiểu điều trị phình động mạch não cổ rộng bằng vòng xoắn kim loại (nút Coil) có sự hỗ trợ của bóng chẹn tại Bệnh viện Đa khoa tỉnh Quảng Ninh”
- Đặt máy tạo nhịp kịp thời cứu sống Việt kiều Canada bị rối loạn nhịp chậm nguy hiểm
- Bệnh viện Đa khoa tỉnh Quảng Ninh khen thưởng đột xuất ekip cứu sống ca nhồi máu cơ tim cấp và ngừng tuần hoàn hai lần
- Tiêu điểm
- Tin đọc nhiều

















202521016343.jpg)








